MUSCULOSKELETAL SOLUTIONS

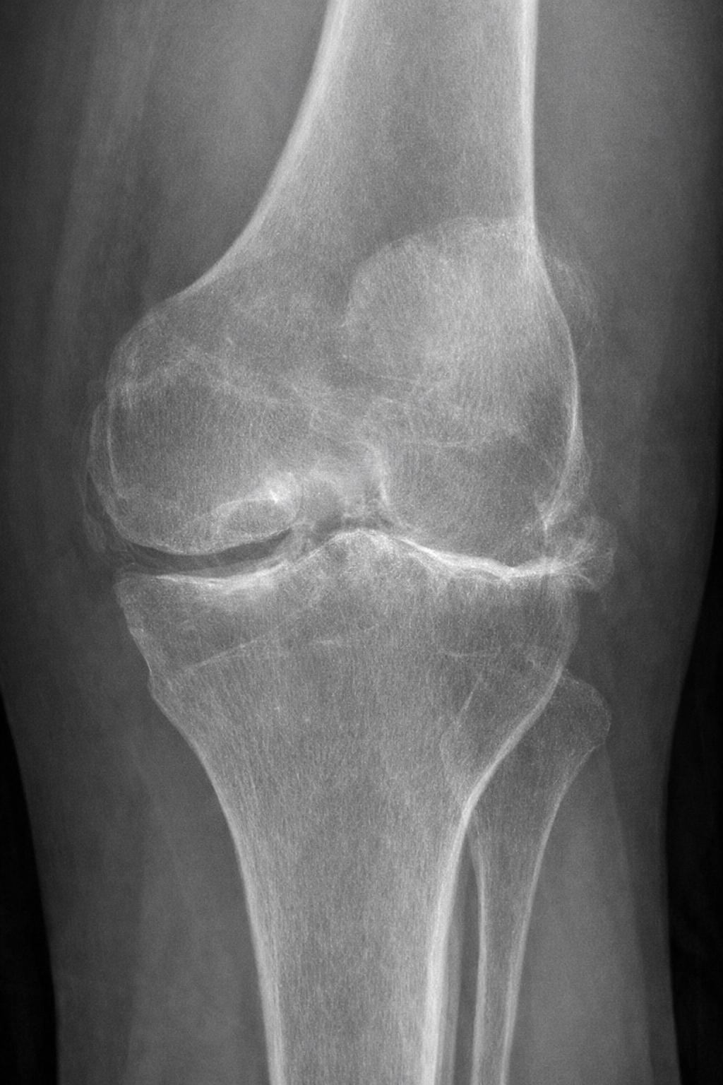
OSTEOARTHRITIS (OA) OF THE KNEE:

• Wear and tear type arthritis of the knee that damages cartilage, resulting in loss of normal function of the knee as bone starts wearing on bone

• Most common type of arthritis

• Results in almost 800,000 knee replacement surgeries per year

• Prevelance increases from age 60 to 70, with up to 40% of people affected by age 70

• Knee replacement surgery is the gold standard, but not all patients are candidates due to other medical conditions or obesity

• Alternate treatments for the pain of knee osteoarthritis are temporary and less effective with repeated use

Genicular Artery Embolization (GAE):

• The inflammation caused by OA of the knee causes increased blood flow to the joint, with enlargement of arteries

• The enlarged arteries and increased blood flow, in turn, cause more inflammation

• Inflammation is painful

• GAE is a procedure developed and refined over the past 12 years, focusing on reducing the abnormal blood flow to the knee affected by OA and thereby reducing inflammation and pain

How is GAE Performed?

•A catheter is placed into an artery in the upper leg and contrast injected, performing an arteriogram to visualize and evaluate the arteries of the affected knee

•The catheter is positioned into each of the enlarged, abnormal arteries supplying the knee and small particles injected, blocking some of the artery branches and reducing blood flow to sites of inflammation

•The procedure is performed with sedation, takes about 1 hour, and after a short recovery allows the patient to return home

What are the results of GAE?

• The procedure usually causes a short period of increased knee stiffness and pain, which sometimes requires pain medication for the first few days

• Symptoms may start to improve around 1 week and continue to improve over the first month

• Studies have shown that 70% of people undergoing GAE have their knee OA symptoms (pain, stiffness, decreased mobility) reduced by half at 1 year

• The procedure can be effective up to 3 years and may provide relief until knee replacement surgery is possible, or may be repeated again

FROZEN SHOULDER SYNDROME (Adhesive Capsulitis)

• Inflammation of the shoulder capsule causes progressively worsening pain and stiffness, developing over months

• Repetitive activities stressing the shoulder, injury, surgery, or immobilization can be inciting events

• Some people develop frozen shoulder without an obvious cause, but it is more common with diabetes, thyroid disorders, autoimmune diseases, and cardiovascular disease

• The hallmark is slow and continuous progression of symptoms starting with pain, then progressing to stiffness with limited function, and eventually some return of function with less pain. The entire process may take years.

• Shoulder manipulation may be performed under anesthesia to break up adhesions, shortening the period of stiffness but recovery remains slow

Adhesive Capsulitis Embolization (ACE):

• Similar procedure to GAE for the knee

• Under sedation, a catheter is place through an artery in the wrist to perform an arteriogram of the affected shoulder

• Abnormal arteries enlarged by inflammation are identified at the shoulder and, after placing a small catheter into each artery, small particles are injected to reduce the abnormal blood flow to the shoulder joint.

• ACE is successful in 70-90% of patients who did not respond to other treatments, reducing pain, improving function, and increasing range of motion.

Request an Evaluation

If you are experiencing symptoms of PAD or are concerned about your vascular health, 

[Request an Evaluation] to schedule an appointment. Early detection and treatment are key to managing PAD and

preventing further complications.